Моя основная цель — улучшение качества жизни пациентов через поддержку их здоровья и уверенности в себе!

Проводила статистические клинические исследования для конференции:
2018г. Доклад «Сравнительная оценка гипсовых моделей пациентов
с частичной потерей зубов с моделями, полученными методом 3D-печати на основании данных конусно-лучевой компьютерной томографии»
на конференции Приволжского Исследовательского Медицинского Университета.
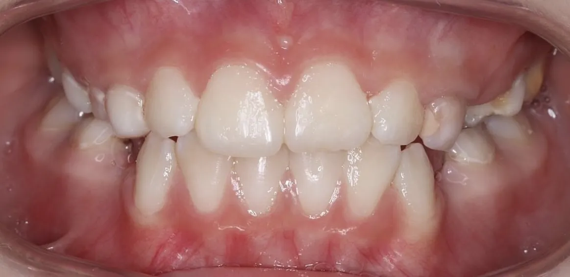
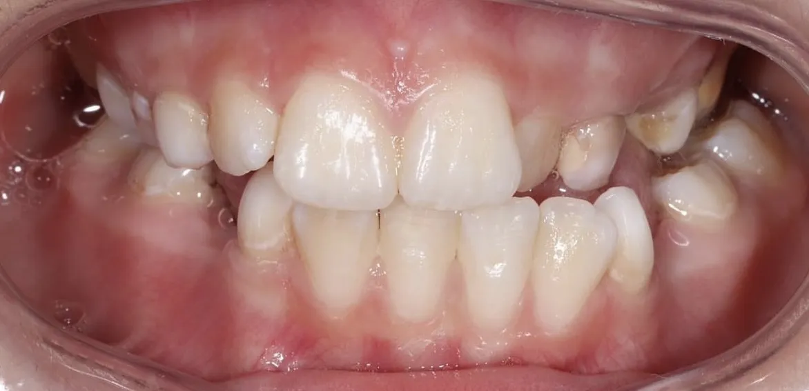
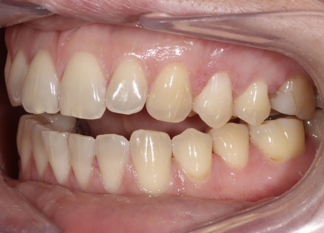
Помогать своим пациентам обрести эстетически привлекательную улыбку.
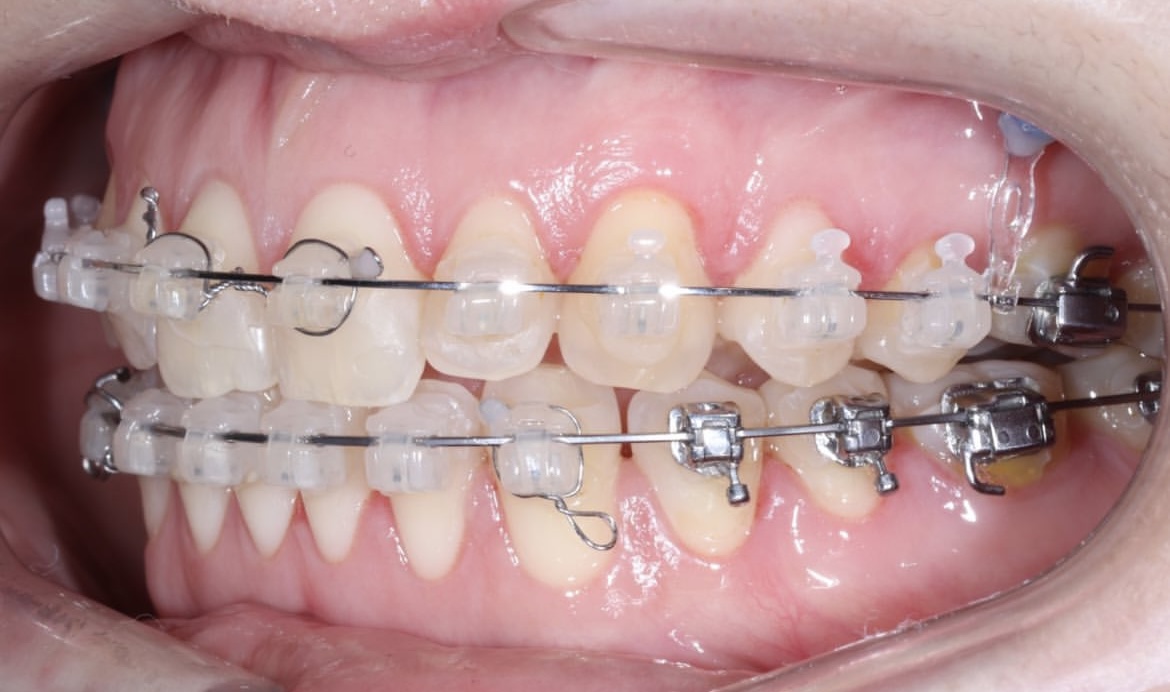
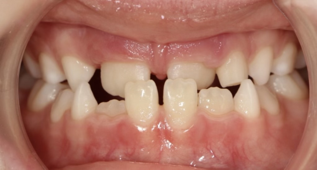
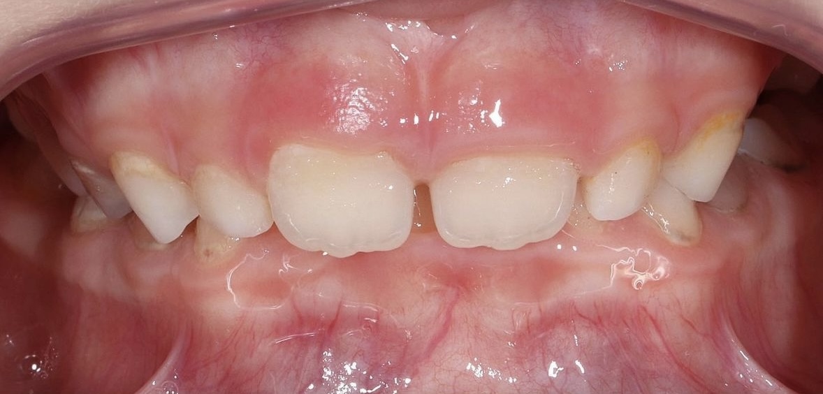
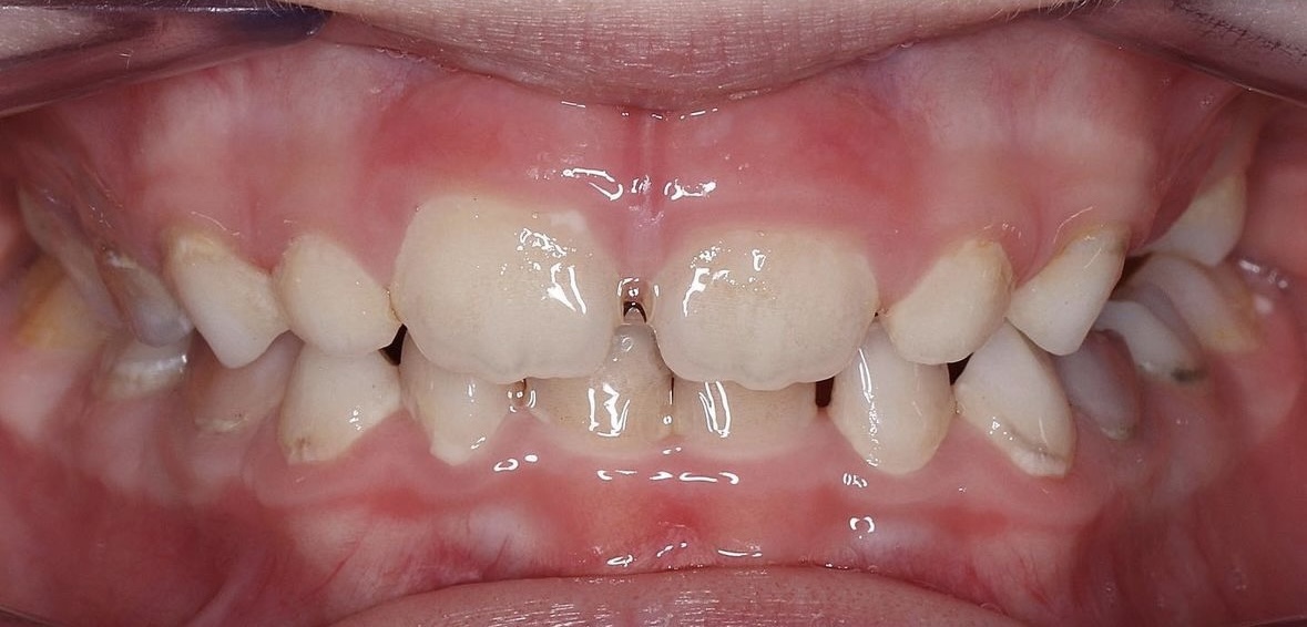
Устранение аномалий прикуса, чтобы предотвратить проблемы со здоровьем зубов и десен.
Объяснять важность ортодонтического лечения и его влияние на общее состояние здоровья.
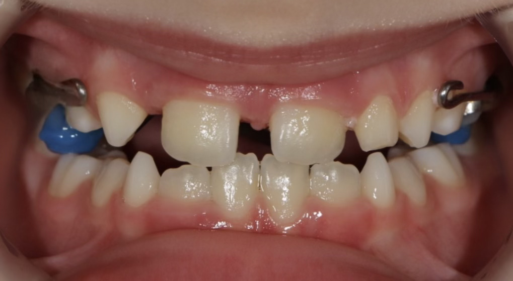
Применять новые методы и технологии для достижения лучших результатов.
Разработка персонализированных планов лечения, учитывающих потребности каждого пациента.
Наблюдать, как лечение меняет жизнь пациента, это очень вдохновляет.
Запишитесь на комплексную консультацию зубо-челюстной системы с заключением ортодонта и получите предварительный план лечения.
Менеджер перезвонит вам и назначит время приема.
Перезагрузите страницу и попробуйте снова.